פרוביוטיקה ביתית- מפתח חשוב לבריאות

תמונה של דוקטור שרית אברהם
דוקטור שרית אברהם

רופאת שיניים עם ניסיון רב בשיטות מתקדמות ואפקטיביות, בעלת תואר Msc במדעים הביו רפואיים של רפואת השיניים.

תוכן עניינים

שלום לכולם, כאן ד”ר שרית אברהם.
והיום אני הולכת ללמד אתכם כלי עוצמתי שיכול לחזק מאוד את הבריאות הכללית שלכם – ולא פחות חשוב מזה, את בריאות השיניים והחניכיים שלכם. 

אם יש מישהו בקהל שלא רוצה להפחית את טיפולי השיניים שלו, אז אולי ההדרכה הזו מיותרת עבורכם. אבל אם התשובה שלכם היא שאתם אכן רוצים להפחית את טיפולי השיניים, לחסוך בזמן, כאבים וכסף, ליהנות מריח טוב יותר מהפה, מחניכיים בריאות, שיניים חזקות ובריאות מיטבית בכלל אז כנראה שכדאי שתצפו בהדרכה הזו עד הסוף!

מי שמכיר אותי יודע שהמטרה שלי כרופאת שיניים היא לספק לאנשים שקט נפשי מבעיות הפה והשיניים ותוך הראייה הזו, כך אני מטפלת באנשים. על מנת שזה יקרה יש שני דברים שצריכים להתרחש:

  • האחד- שהטיפולים שאנחנו עושים יעשו באופן הטוב והמעמיק ביותר, מתוך מחשבה שברגע שהטיפול נעשה במרפאת השיניים לא תצטרכו לחזור עליו שוב ושוב, הדבר הזה לא אמור לקרות, אלא במצבים מאוד יוצאי דופן.
  • והשני הוא- שאתם צריכים לדעת כיצד לתחזק את הבריאות שלכם בבית


כרופאת שיניים עם ניסיון של מעל 15 שנים, אני יכולה להגיד לכם שהטיפולים המוצלחים ביותר היו תמיד אלו שבהם היה שיתוף פעולה רחב בינינו לבין המטופל.

במרפאה אנחנו עושים כל מה שאנחנו יכולים לעשות כדי לספק לכם את הטיפול הטוב ביותר:
זה כולל להיות עם האצבע על הדופק ולקרוא כל הזמן מחקרים עדכניים, יציאה תקופתית להשתלמויות, למידה של טכניקות מתקדמות, שימוש בציוד וטכנולוגיות מהמתקדמים בתחום וחיפוש מתמיד אחר חומרים ביוקומפטיביליים ברמה הגבוהה ביותר ובאמת שהרשימה עוד ארוכה.
מי שרוצה יכול כמובן להיכנס לאתר שלנו ולקבל שם הרבה מידע על סוגי הטיפולים המתקדמים שאנחנו מציעים.

אבל היום אנחנו הולכים להתמקד במה שאתם יכולים לעשות בבית, כדי לשפר את מצב בריאות הפה, החניכיים והשיניים שלכם. אם אתם לא תדעו מה אתם עושים בבית כדי לחזק את בריאות הפה, ולהימנע מהרגלים וממצבים שגורמים לבעיות, אז סביר מאוד שתחזרו שוב ושוב לאותן בעיות: אם לא באותה שן שטיפלנו בה, אז בשיניים אחרות, בחניכיים וכן הלאה.

חשוב לי לספק לכם מענה רחב לבריאות הפה שלכם, כי אני רואה בה נקודת מפתח לבריאות הגוף כולו, וגם כי אני רואה בכך שליחות אישית שלי, לכן יצרתי קורס שלם שבו אני מלמדת מה ניתן לעשות בבית כדי לשמור על בריאות הפה.
בהדרכות שאני נותנת למטופלים ולחברי קבוצת הוואטסאפ שלנו, אני משתפת תכנים מתקדמים מתוך הקורס ומתמקדת בהרגלים החשובים ביותר לבריאות הפה, השיניים, החניכיים – והגוף כולו.

 בהדרכות הקרובות אתמקד ב־הרגלי מפתח.
כלומר, הרגלים שכאשר תתחילו ליישם אותם,  די מהר תרגישו:

  • שיש לכם יותר כוח
  • יותר אנרגיה
  • והרבה יותר קל להכניס עוד הרגלים טובים לחיים

ותאמינו או לא – כשמרגישים טוב, קלילים וחזקים, פתאום יש רצון לעשות עוד, ולא רק “לסגור את המטלות הרגילות של היום”.

לכן, נפתח בהרגלי המפתח שיסייעו לכם להתחיל מסע מופלא לבריאות הפה, השיניים, החניכיים – והגוף כולו.

רגע קטן לפני שנתחיל:
חשוב להדגיש, שגם אם אני מדברת כאן על הרגלים חזקים ויעילים לבריאות, המידע הזה כמובן לא מחליף בדיקה וייעוץ אישי אצל רופא שיניים ואני ממליצה בחום להיבדק בזמן, באופן מסודר, אצל רופא/ת שיניים שאתם סומכים עליהם, כי הטיפול הטוב ביותר הוא הטיפול שנעשה מספיק בזמן לפני שמתחילים הסיבוכים היותר מתקדמים.

ועכשיו, אחרי שאמרנו זאת – בואו נתחיל.

על פניו, היה אפשר לצפות שהרגל המפתח הראשון שאדבר עליו יהיה קשור לצחצוח השיניים.
זה מה שרוב רופאי השיניים מדברים עליו, וגם בעיניי זה כמובן חשוב מאוד.

אבל – אחרי שעשיתי “מחקר פנימי” מעמיק דרך תצפיות על אלפי מטופלים ועל הרגלי החיים שלהם, הבנתי שככל שנתמקד רק בהרגלי צחצוח, אנחנו עלולים לפספס את התמונה השלמה.

לרוב האנשים קשה להכניס הרגלים חדשים – גם כשמדובר בהרגלים מאוד פשוטים, שלא לוקחים הרבה זמן.
ולא רק – הרבה פעמים אני רואה שמטופלים מתקשים בכלל להקשיב ולהפנים את ההנחיות. בפגישה הבאה הם כבר לא זוכרים מה אמרתי, וחלק אפילו אומרים לי מראש:
“אני לא אזכור, אין לי ראש לזה עכשיו.”

וזה קורה לא בגלל שיש לכם “בעיה בראש” או שאתם “לא אנשים רציניים”, כפי שחלק מהאנשים אומרים על עצמם.
לרוב האנשים באמת יש ראש טוב, והרבה פעמים – גם הרבה יותר זמן פנוי ממה שנדמה לנו.

אם יש לכם בערך 30 דקות ביום לצפות בסרטונים, רשתות חברתיות או גלילה בטלפון (ולרוב האנשים יש יותר מזה) –
אז תאורטית יש לכם זמן לעוד שישה הרגלים קטנים של 5 דקות ביום, נכון?

אז למה בפועל אתם מרגישים שאין לכם זמן לטפל בעצמכם באופן טוב יותר?
למה  כל כך קשה לכם להניע את עצמכם גם לדברים שלוקחים כמה דקות קצרות בלבד, ויכולים לשפר משמעותית את הבריאות – כולל להפחית את הצורך בטיפולי שיניים?

התשובה האמיתית היא שלא באמת מדובר בחוסר זמן – אלא בחוסר כוח
יכול להיות שאתם אומרים לעצמכם כרגע, שאתם לא ממש מבינים על מה אני מדברת וזה בסדר. תקשיבו עד הסוף וסביר להניח שתצליחו לעשות את הקישורים טוב יותר בהמשך.

אורח החיים שלנו היום מאוד תובעני:
אנחנו מרגישים שחסר לנו ידע, חסר לנו כסף, חסר לנו זמן.
אנחנו שעות מול מסכים, מרוכזים, זמינים כל הזמן.
והמערכת שלנו נמצאת במצב של דריכות כמעט מתמדת וכתוצאה אנשים רבים סובלים משחיקה מתמשכת.

אורח חיים כזה גורם להפרשה מוגברת של הורמונים מסוימים, ואחד המרכזיים שבהם הוא קורטיזול – הורמון הסטרס.
לגוף יש יכולת להתמודד עם קורטיזול ברמה מסוימת, אבל כשהוא מופרש בעודף – הוא גורם לשרשרת בעיות:
בגוף, במערכת החיסון, ובין היתר גם בפה, בשיניים ובחניכיים.

קורטיזול גבוה יכול להיות קשור, בין השאר, ל־

  • יובש בפה
  • הידוק שיניים
  • חוסר איזון של לחץ דם, סכרת
  • פגיעה בפעילות מערכת החיסון
  • פגיעה באיכות השינה
    ועוד.

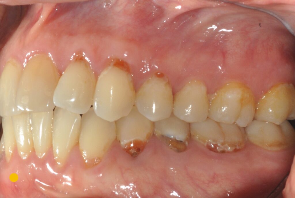
בתמונה כאן משמאל שיניים של מטופל, שהגיע אלינו לפני מספר שנים. הוא עשה הרבה דברים כדי לטפל ולטפח את הבריאות שלו , אבל ראה שזה בעצם גורם לו ליותר ויותר בעיות וכשהוא הגיע אלינו נראו חורים מאוד עמוקים בצוואר השן, דבר שמעיד על דרגת סיכון מאוד גבוהה לעששת. 

מצב זה נובע בד”כ ממספר בעיות, שחלק ניכר מהן קשור לרמה גבוהה של קורטיזול בדם. כאן אנחנו לומדים כיצד לאזן אותו ביעילות גבוהה יותר. בפרק הבא, אלמד אתכם ממה זה נובע ומה עוד ניתן לעשות כדי לשפר את הבריאות.

יש כל מיני דרכים להתחיל להוריד את רמות הקורטיזול בגוף – ועל חלקן נדבר בהדרכות הבאות.
היום אני רוצה להתמקד אתכם  בדרך אחת, יעילה במיוחד, שתעזור לכם לאזן את ההורמון הזה:
📌 והיא באמצעות חיזוק החיידקים הטובים אצלנו בגוף ובמילה אחת – פרוביוטיקה. אבל אל תמהרו להסיק מסקנות, לא מדובר בפרוביוטיקה שאתם כבר מכירים. חכו להמשך.

 

למי שלא מספיק מכיר- מהי פרוביוטיקה בעצם ?
באופן תמציתי, ניתן לומר שפרוביוטיקה היא קבוצה של חיידקים “טובים” שמחזקים את מערכת העיכול, מערכת החיסון ובין היתר מחזקים גם את בריאות הפה, השיניים והחניכיים.
היא לא מגיעה רק כתוסף תזונה — אפשר לקבל אותה גם מהמזון עצמו: יוגורט מותסס, קפיר, ירקות כבושים, משקאות מותססים ועוד.

אלו חיידקים טובים שעובדים בשבילנו, מאזנים את הגוף מבפנים, ותורמים לשיניים ולחניכיים הרבה יותר ממה שרוב האנשים יודעים.

הרבה אנשים, באופן מוטעה, קוראים לכל מיני דברים שהם מכינים בבית כדי להתחזק או לטפל במצבים של מחלות, “אנטיביוטיקה של הטבע”. ובכן, ישנם צמחי מרפא שיש להם פעילות אנטיביוטית, ז”א פעילות שהורגת את החיידקים באופן מכוון. בד”כ אנטיביוטיקות בין אם הן טבעיות ובין אם הן מבית המרקחת, הורגות את החיידקים באופן בלתי מובחן. ז”א, שהן הורגות את החיידקים הטובים יחד עם הרעים. 

בקטע  הקצר הזה שאמרתי עכשיו יש הרבה מאוד מידע שמצריך רקע בסיסי והבנה. אבל לצורך העניין, פרוביוטיקה היא בעצם משהו (תכף נדבר על מזה המשהו הזה) שמכיל חיידקים טובים, שהם בעצם פועלים יחד עם מערכת החיסון שלנו בשיתוף פעולה, מחזקים אותה ומאפשרים לנו להרגיש חזקים יותר. בשונה מאנטיביוטיקה, הפרוביוטיקה עוזרת למערכת החיסון להילחם בחיידקים הרעים, תןך שימור וחיזוק החיידקים הטובים. 

אפשר לומר שבמאתיים השנים האחרונות, ברור לרפואה ולמטופלים כי יצורים קטנים, הנקראים בשם המיקרוביום יכולים להשפיע מאוד על הבריאות שלנו, על מצב הרוח ועל הרבה מאוד היבטים בחייינו.

אם במאה השנים הראשונות מתוך התקופה עליה דיברנו כעת, ההתמקדות של הרפואה הכללית הייתה בהסתכלות על החיידקים הרעים בעיקר ושימוש באנטיביוטיקות כאלו ואחרות, שנלחמות בחיידקים. כיום, עולם המחקר העדכני ברפואה מבין שישנם חיידקים טובים ושכדאי מאוד לחזק אותם  כדי ליהנות מבריאות טובה יותר. 

בתחום המחקר הזה, יש עוד כברת דרך לחצות כדי להבין מספיק לעומק כיצד החיידקים הפרוביוטיים, שזהו השם הכללי לחיידקים הטובים, יכולים לשמש אותנו בתחומים שונים של טיפולי הרפואה. מי שקורא מחקרים בתחום, מבין שבעתיד ישתמשו יותר בפרוביוטיקה מאשר באנטיביוטיקה, אך הדרך לשם היא עוד ארוכה וזה לא המטרה של הפודקאסט שלנו היום, כי אם להבין כיצד אנחנו יכולים לחזק את עצמנו מאוד בקלות ולהתחיל לחיות חיים טובים ושמחים יותר. כי, תאמינו או לא, לחיידקים ששוכנים בתוך הגוף שלנו יש הרבה מאוד השפעה על מה שאנחנו עושים מדי יום.

גם לכם וגם לי ברור שכשאנחנו מרגישים חזקים, הגוף שלנו מתפקד טוב ואנחנו שמחים, יש לנו זמן לטפל בעצמנו ולעשות אפילו יותר משימות ממה שחשבנו שאנחנו יכולים לעשות. לעומת זאת, כשאנחנו עייפים, קשה לנו לדמיין שנוסיף אפילו הרגל קטן אחד של 5 דקות ביום.

נחזור שניה לדוגמא של הורמון הקורטיזול, עליו דיברנו לפני מספר דקות. הסברתי לכם, ובהדרכה קרובה אחרת נעמיק קצת יותר בנושא, אז כרגע תצטרכו פשוט להאמין לי, שכאשר יש הפרשת יתר של ההורמון הזה, אנחנו הופכים להיות חלשים יותר. אמנם מטרת ההפרשה של ההורמון היא בעצם לתת לנו כוח וחוזק לרוץ, לברוח ולהגן על עצמנו, אך בקיצור רב, הצורך שלנו בהורמון זה באורח החיים בו אנו חיים, שבו אין לנו יותר מדי צורך לברוח מאיזה אריה בג’ונגל, הוא מועט בהרבה יותר מזה של אבותינו הקדמונים. 

עכשיו, שימו לב: אם קורטיזול הופרש אצלכם בגוף כתוצאה מאריה בג’ונגל, רצתם והצלחתם להתחמק מהטורף. ההפרשה שלו כנראה מאוד עזרה לכם כי גם אם תהיו חולים, לפחות תהיו בחיים. עם זאת, באורח החיים הנוכחי שלנו היום, ההורמון הזה בעיקר גורם לאנשים להיות חולים ופחות מגן עליהם. 

יש הרבה סיבות למה אורח החיים הנוכחי שלנו גורם לעלייה ברמות הקורטיזול ובכל לבעיות רבות של הגוף והנפש, אך כיום נתמקד ראשית באופן שבו אנחנו יכולים להפחית את הפרשתו, לנקות עודפים שלו מהגוף ולחזור להיות חזקים וממוקדים במה שאנחנו רוצים לבחור לעשות ולא להרגיש שאין לנו מספיק כוח או זמן לדברים שחשובים לנו באמת. והאמת היא? שאנחנו לרוב יכולים לעשות מדי יום הרבה מעבר למה שאנחנו חושבים. כשהגוף שלנו חזק ומאוזן, תאמינו או לא, השמים הם הגבול. אתם רק צריכים להחזיק ראש אתי עכשיו.

אוקיי, אז לצורך העניין, הבנו שיש איזשהו חומר, שנקרא הורמון, והוא, מסיבות כאלו ואחרות, שנלמד אותן בהדרכות המשך, גורם לנו לבעיות בפה, הגוף ואפילו הנפש. ההורמון הזה מפריע לנו בתפקודים רבים, מפחית משמעותית את איכות השינה שלנו ובכך גורם לאנרגיה מאוד ירודה של הגוף. כתוצאה מכך במקרה הטוב, אנחנו מתקשים ללמוד, להקשיב ולעשות דברים חדשים. אנחנו בעצם די מנותקים מעצמנו וגם אם אנחנו לא חולים, אנחנו לא ממש בריאים ומתקשים לעשות את מה שיסייע לבריאות שלנו. במקרה הפחות טוב, נהיים ממש חולים וזה יכול להתבטא במגוון רחב של דברים, לרבות מחלות של הגוף וכן הנפש.

אז במה יעזרו לנו החיידקים הטובים שדיברנו עליהם קודם? לחיידקים הטובים, יש השפעה אדירה על תפקוד הגוף שלנו. באותה מידה שחיידקים רעים יכולים לגרום מחלות, כך חיידקים טובים יכולים לגרום לבריאות. אחד מהדברים שחיידקים רעים גורמים אצלנו בגוף הוא הפרשה ביתר של קורטיזול, ההורמון שמפריע לבריאות שלנו. לעומתם, החיידקים הטובים, עוזרים בהורדת רמות הקורטיזול, ובכך, בין היתר, מאפשרים לנו להינות מבריאות טובה יותר.

 בריאות אינה מצב של חוסר מחלה כי אם מצב של תפקוד גבוהה. זה משהו שאנשים וכן רופאים רבים לא ממש הפנימו לאורך השנים. והאמת? שזה לא לגמרי לא סביר, אנחנו נמצאים פשוט בתהליך אבולוציוני, וכרגע אנחנו מדברים על השלב הבא בתודעת הבריאות המתפתחת. 

אוקיי, אז בואו ניגש תכלס,

בהדרכה הבאה נדבר על מה גורם לכך שיש לנו פחות חיידקים טובים ואילו הרגלים כדאי להפחית כדי להימנע מבעיה כזו. אבל בהדרכה הזו, אנחנו נלמד תכלס, באופן פרקטי, מה יכול לסייע לנו לשפר את כמות ופעילות החיידקים הטובים בתוכנו בקלות וביעילות.

אז איך אנחנו מחזקים את החיידקים הטובים בתוך הגוף שלנו?

יש אפשרות אחת- לקנות פרוביוטיקה. הולכים לחנות טבע, בית מרקחת או נכנסים לאתרים למוצרי בריאות כמו IHERB, קונים פרוביוטיקה ומתחזקים.

מכירים את זה? רוב האנשים לא ממש מרגישים שינוי מספיק משמעותי לאחר שימוש בפרוביוטיקה שהם קנו.  אולי יום אחד זה יקרה, אבל בעצם, עדיין אין מספיק פרוביוטיקות טובות, שנמכרות בקפסולה ועוזרות לגוף שלנו. 

למה זה קורה? עוד לא מצאו כיצד לגדל את החיידקים בתוך קפסולה כך שתהיה כמות מספיק טובה שלהם ושהם ישרדו את הזמן שבו הם יושבים על המדף. ישנן פרוביוטיקות חיות, שהן יעילות יותר, אך הן בד”כ יקרות מאוד, יכולות לשמש אתכם למשך זמן קצר ולרוב זה לא יישומי להשתמש בהן לטווח הארוך, לכן ההשפעה שלהן היא קצרת מועד.עם זאת, לעיתים, ניתן לשלב אותן בפרוטוקול טיפולי מתאים במיוחד לאחר נטילת אנטיביוטיקה, אם תרצו, אייחד הדרכה לרכישת פרוביוטיקה חיה. אתם רק צריכים לכתוב לי, כדי שאדע כמה מכם מעוניינים וכמובן שנערוך הדרכה בנושא אם נראה שיש מספיק ביקוש.

אחד הרופאים הבולטים בתחום הבריאות, שמדבר על שימוש בפרוביוטיקה כדי לטפל במגוון רחב של מחלות, הינו ד”ר וויליאם דייויס, שהוא קרדיולוג קנדי, שחקר במשך שנים רבות, את ההשפעה החיובית שלה על הבריאות.  הוא מצא דרך קלה ופשוטה להכין פרוביוטיקה בבית, כזו שבאמת עובדת, שכל אחד, אפילו עם כישורי מטבח ממש בסיסיים, יכול להכין. לא צריך ציוד מיוחד, רק להשיג זן פרוביוטי מסוים, שגם העלות שלו לכתחילה לא גבוהה וגם ניתן להכין ממנו יותר מאשר הכמות ההתחלתית, ע”י תהליך מאוד פשוט.

עכשיו, יכולתי לדבר אתכם על דרכים אחרות להכין פרוביוטיקה בבית, אבל בחרתי להציג בפניכם את הפרוביוטיקה הספציפית הזו, מסיבות רבות. אחת מהן היא שמדובר בזן פרוביוטי טיפולי ממש עם שלל מחקרים שנעשו עליו. החל במחקרים הבוחנים את ההשפעה שלו על איזון רמות הסוכר בדם, איזון לחץ דם וכלה במאמרים בתחום רפואת השיניים שאפילו מדברים על ההשפעה החיובית שלו על בריאות הפה, ריפוי מהיר של פצעים בפה בין אם אפטות או אפילו ריפוי חתכים לאחר כירורגיה של הפה, ניתוחי חניכיים, השתלות שיניים וכו. מדובר בזן של חיידק שהוא בעל פעילות מאוד חזקה וברגע שהוא נכנס למערכת העיכול שלנו הוא מטפל במגוון דברים ואפילו מייצר קואליצה של חיידקים טובים חזקים סביבו, כך שהוא ממש כמו סוג של ראש ממשלה של חיידקים

לכל מה שאני אומרת לכם כרגע אני אצרף גם מחקרים שתומכים בכך, כך שתוכלו לראות כמובן שאלו דברים מבוססים מדעית.

אז הבנו עד כה שההימנעות שלנו מלהגיע למלוא הפוטנציאל שלנו, הקושי מלעשות מטלות נוספות אפילו אם הן קלות ולא לוקחות זמן, חוסר היכולת להקשיב באופן עמוק, לזכור וליישם דברים חדשים נובע מעייפות, שנובעת, בין היתר, מחוסר איזון בהפרשה של הורמון מסוים שנקרא קורטיזול. 

לפני שנתקדם, אני רוצה לומר לכם שיש בינינו כרגע אנשים שמאזינים וחושבים לעצמם, רגע, אני לא באמת עייף. לא נראה לי שזה קשור אלי. האמת? יכול להיות שלא תרגישו עייפים כלל, כי כל עוד יש לכם הפרשה גבוהה של קורטיזול, אתם נמצאים במצב של דריכות ולא בהכרח תרגישו את זה שאתם עייפים. לכן, אל תתייחסו רק לעייפות כסימפטום אלא תנסו לבחון אם שאר הדברים שציינתי לאורך ההדרכה רלוונטיים אליכם.

לפני שאדריך אתכם כיצד להכין בבית, ממש בקלות, פרוביוטיקה מהזן של החיידק ל. ראוטרי, כדאי שתדעו מה ההטבה שאליה תצפו: 

  1. כמובן, הטבה משמעותית בבריאות הפה, ריח טוב יותר מהפה, הפחתה משמעותית בדימום ודלקת מהחניכיים, ירידה בכמות החורים החדשים שנוצרים, ריפוי טוב יותר של פצעים, 

  2.  בנוסף, תצפו לשינה עמוקה יותר, תחושה של חוזק רב יותר וחוסן

  1. שיפוי בייצור קולגן, כך שלחלק מהאנשים יהיה אפילו שיפור בקמטים,  הפחתה בנטייה לשבירה של העצמות ועוד.

  2. ירידה במידת ההידבקות בוירוסים עונתיים וסה”כ חוסן גבוהה יותר.

  3.  אנשים מדברים גם על איזון ממשי של רמות הסוכר בדם, איזון של לחץ דם ופתרון לשלל בעיות בריאותיות נוספות (וזה גם מגובה במחקרים)

  4. כמובן שאם אתם הורים לילדים, אז יש גם מחקרים שמדווחים על שיפור בהתנהגות, מצב הרוח , קשב וריכוז ועוד.

אני כמובן לא אומרת שעכשיו אתם הולכים לפתור בעיות בריאותיות לבד ע”י צריכה של הפרוביוטיקה הזו, ואם יש לכם בעיות בריאותיות שאובחנו כדאי שתהיו במעקב צמוד של רופא ולא תפסיקו לקחת תרופות על דעת עצמכם.

אבל, כן, לפרוביוטיקה הזו יש כ”כ הרבה מה לתרום לנו, שהמידע לגביה חייב להיות בכל בית.!!!

אוקיי, אז מהו הזן הפרוביוטי שד”ר וויליאם דייויס משתמש בו לטיפול בטווח רחב של בעיות בריאותיות ושיפור מדדי בריאות אצל מטופלים שלו? מדובר בחיידק שקוראים לו לקטובצילוס ראוטרי, או בקיצור ל.ראוטרי (לשם הנוחות נקרא לו מעתה ואילך בשם הקיצור). ולפני שאתם רצים להזמין אותו, שימו לב, גם לל.ראוטרי יש כל מיני תת זנים שחלקם חזקים יותר וחלקם חזקים פחות. לכן, אם אתם רוצים להכין את הפרוביוטיקה הזו ושהיא תהיה יעילה מספק, אתם צריכים להשיג פרוביוטיקה שרשום עליה LRDR (שני תתי זנים שנמצאו והומלצו ע”י ד”ר וויליאם דייויס) והזנים הקשורים לכך הם:

L. reuteri ATCC PTA 6475 

L. reuteri DSM 17938.

ישנם שני מוצרים בשוק שניתן למצוא בהם את שני הזנים הללו והם:

פרוביוטיקה של ביוגאיה- בשם  GASTRUS המכיל את שני הזנים ההלו בטבליה. בישראל קל יותר להשיג את המוצר הזה מכיוון שהוא נסחר בחנויות טבע כאן בארץ וב I-HERB, שמי שלא מכיר אייהרב זו חנות טבע אונליין, שניתן להשיג שם הרבה תוספים טובים והשליחות לישראל לרוב היא ללא עלות בקניה מעל סכום מסוים שהוא לא גבוה במיוחד.

ומוצר חדש יותר של ד”ר וויליאם דייויס בעצמו, שאותו קצת יותר קשה להשיג כאן בארץ והוא של חברת אוקסיוטיקס. הבעיה היחידה היא שמכיוון שהמוצר יחסית חדש עדיין טרם התחילו להביא אותו לישראל והמשלוח לארץ מחנות האונליין שלהם יקר אפילו הרבה יותר מהמוצר עצמו.

לי אישית, יש כבר ניסיון עם הפרוביוטיקה של ביו גאיה, עוד לפני שד”ר דייויס ייצר את המוצר יחד עם החברה הזו בעצמו ואני יודעת שניתן להשיג תוצאות יפות מאוד גם עם הפרוביוטיקה של ביו גאיה. היתרון , לכאורה, במוצר שד”ר דייויס ייצר בעצמו הוא שמדובר בכמות גדולה יותר של חיידקים, המוצר מגיע בקפסולה ולא בטבליה. לצורך העניין, במוצר שהוא ייצר ניתן להשתמש בקפסולה אחת והיא שוות ערך ל 10 קפסולות של ביו גאיה, לדברי החברה. 

עם זאת, כדאי לקחת בחשבון שכדאי לעשות הכל קל יותר. המוצר של ביו גאיה עובד, ד”ר דייויס השתמש בו הרבה מאוד שנים לפני שפיתח מוצר תחת השם שלו וקל להשיג אותו בישראל. בנוסף, אחרי שהכנתם את הכמות הראשונה של הפרוביוטיקה עם 10 הקפסולות, את יכולים להכין אתו עוד פרוביוטיקה בכמות גדולה יותר, אסביר לכם תכף. אתם לא צריכים לשבור את הראש איך להשיג את המוצר. אלא אם כן, אתם מכירים מישהו שיכול להביא לכם אותו מארה”ב או קנדה ואז זה הרבה יותר קל.

לצורך העניין, מכייוון שקל יותר להשיג את המוצר של ביו גאיה כאן בארץ, אסביר לכם מה עושים עם המוצר הזה כדי לייצר ממנו כמות גדולה של פרוביוטיקה. מ10 קפסולות, אתם יכולים להכין יותר מ 5 ליטר של פרוביוטיקה. מה שאומר, שמ 30 קפסולות, תוכלו לייצר אפילו 15 ליטר והרבה פעמים אפילו יותר. אז באמת, אם קל לכם יותר, פשוט תזמינו את המוצר של ביו גאיה, הוא במחיר סביר ותפיקו ממנו כמות מאוד גדולה.

אז מה השלב הבא?

לפני מספר דקות דיברנו על כך שקשה להשיג תוצאות טובות מספיק מפרוביוטיקה שיושבת על המדף, הרבה פעמים החיידקים מתים, אם לא על המדף אז הם מתים כבר בקיבה שלנו, כי החומציות הגבוהה, שאמורה להיות באופן טבעי בקיבה, הורגת אותם בדרך אל המעי. לכן, כדי שהפרוביוטיקה תתן לנו את מה שאנחנו רוצים להפיק ממנה אנחנו צריכים להחיות ולהרבות את החיידקים כדי שהם יהיו חזקים מספיק כדי לעבור את המחסומים שהם צריכים לעבור בדרך לשם כך, שלפני שמכניסים את הפרוביוטיקה לפה, אנחנו בעצם נעביר אותה תהליך קצר, שיהפוך אותה לאפקטיבית יותר.

יש את המתכון הקל, שעבד לי פעמים רבות ואת המתכון של ד”ר דייויס, אסביר לכם מה אני חושבת על המתכון של ד”ר דייויס וכיצד להערכתי יש להשתמש בו

בואו נתחיל במכון הקל, שעובד עם תוצאות ממש יפות וסייע לי להרגיש חזקה ונמרצת יותר ואפילו סייע לי להתגבר על כמה בעיות בריאותיות שלא הוגדרו כמחלה אך העיקו עלי. אז שימו לב:

ננקה היטב צנצנת של ליטר ( היחס הוא 10 טבליות לכל ליטר, בהתחלה, אם אתם רוצים יותר, תעלו את כמות הטבליות ביחס לכמות החלב שהשתמשתם בו). כדי שהצנצנת תהיה נקייה מספיק, כדאי לחטא אותה עם מים חמים. אם השתמשתם בצנצנת, צריך לנקות אותה מאוד בזהירות עם המים החמים. לחלופין, אפשר פשוט להשתמש בקערת פיירקס עם מכסה, זה יאפשר לכם להרגיש בטוחים יותר ולא תצטרכו להיזהר כ”כ בתהליך החיטוי. יש כאלו שמכניסים את הצנצנות לחיטוי בתנור על 200 מעלות, יש כאלו שפשוט מרתיחים בסיר מים חמים. אני אישית ראיתי שהמתכון עובד גם אם רק מערים בעדינות מים רותחים על הצנצנת, לאחר שהיא נוקתה היטב עם מים וסבון.

ניקח 10 טבליות של התוסף הפרוביוטי גסטרוס, נטחן אותן כמה שיותר דק: אפשר להשתמש במטחנת טבליות קטנה, במכתש ועלי, פטיש של שניצל, כל דרך שנוחה וקלה לכם לטחון את הטבליות.

נערבב עם ליטר חלב (אפשר חלב קוקוס למי שמעוניין)

ואז רק צריך לשים את הצנצנת עם החלב והחיידקים בסביבה של 36-40 מעלות. אם יש לכם כירה להכנת יוגורט, אתם יכולים להשתמש בה. אם אין לכם, פשוט תשימו את הצנצנת בתנור, תדליקו את התנור על מצב של נורה בלבד, זה נותן סביבה של כ 40 מעלות בערך וזה לגמרי מספיק. לא חייבים לקנות ציוד מיוחד.

אם השתמשתם בחלב, לאחר 24 שעות תקבלו חלב מותסס עם הרבה פרוביוטיקה ומרקם של יוגורט. זה לא יוגורט רגיל, אלא חלב מותסס, אבל לצורך העניין נקרא לו יוגורט. אני אישית נוטה לחכות 24 שעות מלאות ולא להוציא לפני.

שימו לב, שאם אתם משתמשים בחלב קוקוס, המרקם שתקבלו לא יהיה כמו של יוגורט אלא מרקם יותר של לבן נוזלי. למי שרוצה מרקם סמיך יותר, ד”ר דייויס ממליץ על הוספת מסמיך כמו אגר אגר לחלב הקוקוס. אבל הוא מצריך הרתחה של החלב עם האגר אגר והמרקם יוצא סמיך מדי. לצורך הפשטות, אני ממליצה להימנע מהמסמיך, עדיף פשוט לשתות את התוצר בכוס ולא לצפות לאכול אותו כמו יוגורט כשמדובר בחלב קוקוס. דרך נוספת להסמיך אותו היא פשוט להכין פודינג צ’יה בתוך החלב קוקוס המותסס. בנוסף, אם בכל זאת החלטתם להשתמש באגר אגר להסמכה, הייתי שמה ממש קמצוץ, כדי שהמרקם יצא יותר חלק וקרמי, אחרת תקבלו ג’לי קוקוס. יש שאוהבים אותו, אני אישית לא התחברתי, אבל כמובן שזה עניין של טעם.

הערה קטנה נוספת לגבי חלב הקוקוס, אני, באופן אישי, סבלתי במשך שנים רבות מרגישות למוצרי חלב ובתחילה נרתעתי להשתמש בחלב במתכון הזה לכן בהתחלה השתמשתי בחלב קוקוס, לאחר שהרגשתי טוב יותר התחלתי להשתמש בחלב רגיל כי הטעם שלו טוב יותר עם הפרוביוטיקה הזו. בהמשך אלמד אתכם על פרוביוטיקה אחרת שההתססה שלה בחלב קוקוס היא טעימה יותר ואני משתמשת בה כקינוח לאחר אכילת בשר. אבל, לצורך הפשטות, כדאי לכם להתחיל ביוגורט ל.ראוטרי הזה, ולאחר מכן יהיה ניתן להתחיל להציג זנים חדשים בהמשך. 

גם אם זה לא נראה לכם כרגע, ברגע שתראו כמה היוגורט הפרוביוטי הזה שיפר את הבריאות שלכם, אתם תרצו לבחון זנים נוספים. אבל סמכו עלי, אתם קודם רוצים להצליח ולהתחיל להשתמש בזן הספציפי הזה. אחרי שתכירו את המתכון ותרגישו בטוחים, באופן טבעי תתחילו לבחון דברים נוספים ואני עוד אביא לכם מתכונים. אבל אני ממליצה לא להתפתות לדברים נוספים כרגע. תזמינו רק את הזן הזה ותתמקדו בו, תכירו אותו, תכינו אותו, תתאהבו ואחר כך נעבור לקומה הבאה. 

כיצד הופכים 10 טבליות ל 5 ליטר של פרוביוטיקה?

למעשה, אחרי שהכנתם את הליטר הראשון, אתם יכולים להמשיך להכין עוד ועוד ממנו. אפשר לקחת 2 כפות מהליטר הראשון שכבר תסס, להעביר לליטר חלב הבא ולהשתמש בו לפחות 4-5 פעמים נוספות. כך שמכל ליטר ראשון שהכנתם אתם יכולים להכין עוד חמישה ליטרים נוספים, לפחות. איך תדעו אם אתם יכולים להכין יותר? כל עוד היוגורט שאתם מכינים דומה בריח ובטעם למה שהכנתם קודם- הפרוביוטיקה עדייןם עובדת

סוד כמוס בינינו?

אם תשקיעו צעד קטן נוסף ותשימו בצד צנצנת קטנה עם 3 כפות מהיוגורט, היא תשמש לכם כמתחיל להרבה יותר פעמים להכנת היוגורט. הבעיה עם שימוש ב 2 כפות מהיוגורט שאתם אוכלים ממש היא שאתם פותחים שוב ושוב את הצנצנת וזה גורם לכניסה של חמצן ויכול להפחית את כמות החיידקים לקראת ההתססה הבאה. לכן, כדאי שפשוט תשימו צנצנת קטנה בצד יחד עם הליטר שהכנתם, שאותה לא תפתחו עד הפעם הבאה שתרצו להכין יוגורט, היא תשאר נקייה, לא תתחמצן וספירת החיידקים בתוכה תהיה יציבה ואמינה יותר להמשך.

עכשיו, למי שרוצה, יש כמובן גם את המתכון של ד”ר דייויס, שהוא קצת יותר מורכב

הרציונל של ד”ר דייויס במתכון שהוא יצר בתחילה היה לייצר כמה שיותר חיידקים לכן, הוא הוסיף להם עוד חומרי הזנה שיסייעו להם להתרבות טוב יותר

לאורך השנים ניסיתי את המתכון שלו וגם האזנתי לחידודים שלו על המתכון והגעתי למסקנה שהאופן שהסברתי לכם לעיל פשוט עובד יותר טוב בפועל

עם זאת, אם תרצחו לבחון אם המתכון של ד”ר דייויס עובד לכם יותר אצרף גם חוברת מתכונים בה תוכלו לקבל הסבר והדגמה של המתכון שלו כולל מענה לשאלות ותשובות נוספות. אצרף לכם גם מספר סרטוני הדגמה והסבר של אנשים מעולים שהעלו סרטונים בנושא.

אני ממליצה שתתחילו במתכון הקל. לי היה ניסיון ממש טוב אתו ולפעמים, הפשטות עובדת הכי טוב.

אני מקווה שההדרכה הזו עזרה לכם ושנתתי לכם מספיק מוטיבציה להתחיל כבר עכשיו לפתוח דלת חדשה לבריאות.

בקרוב אעלה הדרכות נוספות על הרגלי מפתח אחרים שיסייעו לכם ליהנות משיניים בריאות וחזקות יותר. כמו למשל, כיצד אתם יכולים לעודד את מערכת העצבים שלכם לעבוד טוב יותר עבורכם, הרגלי אכילה שלא מדברים עליהם מספיק והם יותר חשובים אפילו ממה שאתם אוכלים בעצמו, כיצד לשפר את שנת הלילה שלכם כדי שהגוף יוכל לעבור למצב ריפוי ותיקון בכל לילה ולספק לכם בריאות מיטבית ועוד, אז תמשיכו לעקוב, הולך להיות מרתק!

מילת סיום לפני שניפרד לשלום, כמו שפתחתי את ההדרכה:
אנחנו במרפאה נעשה תמיד את הטיפול המתקדם, העדכני והטוב ביותר עבורכם, בזכות כך אנשים מגיעים אלינו מכל רחבי הארץ ואפילו מחוץ לארץ –
אבל בסוף, אתם אלו שחיים עם השיניים שלכם ביום־יום, ואתם אלה שיכולים לבחור לשמור על הבריאות שלכם ואני אשמח לראות אתכם בריאים, משגשגים ושמחים להגיע לבדיקות ביקורת בלבד לאורך השנים. אתם יכולים, לא תמיד זה קל אבל תאמינו או לא, זה אפשרי ואני ממליצה לכם לעקוב אחרי וליישם את ההמלצות שלי.

אל תשכחו לכתוב לי איך הלך לכם עם המידע שנתתי לכם כאן, אם נשארו לכם שאלות, שילחו אלי ואעשה את מיטב המאמצים להעלות הדרכה שתיתן מענה לשאלות שלכם. 

אז זה הזמן לומר שלום ולבריאות!

שמחתי להיות כאן אתכם, תמיד  כאן בשבילכם, ד”ר שרית אברהם

 

רשימת מאמרים קשורים:

  • Consumption of Lactobacillus reuteri-containing lozenges improves periodontal health in navy sailors at sea: A randomized controlled trial – Schlagenhauf U. ואחרים, 2020, Journal of Periodontology, DOI: 10.1002/JPER.19-0393 (רפואת שיניים)

 

  • Effectiveness of Probiotic Lozenges in Periodontal Management of Chronic Periodontitis Patients: Clinical and Immunological Study – Alshareef A. ואחרים, 2020, European Journal of Dentistry, DOI: 10.1055/s-0040-1709924 (רפואת שיניים)

 

  • Limosilactobacillus reuteri improves healing following fully impacted tooth extractions: Randomized clinical trial – Cinquini C. ואחרים, 2025, Oral Diseases, DOI: 10.1111/odi.70026 (רפואת שיניים)

 

  • Prevention of recurrent childhood caries with probiotic supplements: a randomized controlled trial with a 12-month follow-up – Hasslöf P. ואחרים, 2022, Probiotics and Antimicrobial Proteins, DOI: 10.1007/s12602-022-09913-9 (רפואת שיניים)

 

  • Alleviation of halitosis by use of probiotics and their protective mechanisms in the oral cavity – Karbalaei M. ואחרים, 2021, New Microbes and New Infections, DOI: 10.1016/j.nmni.2021.100887 (רפואת שיניים)

 

  • The beneficial effects of Lactobacillus reuteri ADR-1 or ADR-3 consumption on type 2 diabetes mellitus: a randomized, double-blinded, placebo-controlled trial – Hsieh M.C. ואחרים, 2018, Scientific Reports, DOI: 10.1038/s41598-018-35014-1 (רפואה כללית)

 

  • Lactobacillus reuteri V3401 reduces inflammatory biomarkers and modifies the gastrointestinal microbiome in adults with metabolic syndrome: The PROSIR Study – Tenorio-Jiménez C. ואחרים, 2019, Nutrients, DOI: 10.3390/nu11081761 (רפואה כללית)

 

  • Effects of Probiotic NVP-1704 on Mental Health and Sleep in Healthy Adults: An 8-Week Randomized, Double-Blind, Placebo-Controlled Trial – Lee H.J. ואחרים, 2021, Nutrients, DOI: 10.3390/nu13082660 (רפואה כללית)

 

  • Exploring the impact of probiotics on adult ADHD management through a double-blind RCT – Levy Schwartz M. ואחרים, 2024, Scientific Reports, DOI: 10.1038/s41598-024-73874-y (רפואה כללית)

 

  • Multistrain Probiotics and Telomere Length in Type 2 Diabetes: A 24-Week Randomized Controlled Trial – Venkata C. ואחרים, 2025, Life (Basel), DOI: 10.3390/life15020311 (רפואה כללית)

 

בסרטון לעיל ד”ר דייויס מסביר בקצרה על טעויות נפוצות בהכנת היוגורט 

בסרטון לעיל הסבר כיצד ניתן להכין כמות גדולה של היוגורט למשך תקופה ארוכה

בסרטון לעיל ניתן לקבל טיפים וטריקים לשימוש במתכון של ד”ר דייויס וד”ר ברג 

חזרה לחלק מסוים במאמר
תמונה של דוקטור שרית אברהם
דוקטור שרית אברהם

ד"ר שרית אברהם בוגרת הפקולטה לרפואת שיניים בהדסה, בעלת תואר Msc במדעים הביו רפואיים של רפואת השיניים. ד"ר אברהם מייצגת את הדור החדש של רופאי השיניים ומשלבת בין טיפול איכותי ומקצועי בד בבד עם גישה הרואה את המטופל כמכלול.
ד"ר אברהם מבצעת סקירה מעמיקה אודות מצבו הרפואי של המטופל על מנת לאתר את גורמי השורש שהביאו את המטופל למרפאתה, המצריכים לעיתים מעורבות של גורמי טיפול נוספים כדוגמת רופא אף אוזן גרון או אורטודנט.
ד"ר אברהם מתעדכנת כל העת בפרקטיקות הטיפול החדשניות ביותר במסגרת חברותה ב- SPEAR EDUCATION CAMPUS ומחזיקה את הציוד המתקדם ביותר כגון סורק אינטראוראלי ומדפסת תלת מימד המאפשרים לקצר את משך הטיפול ולתת מענה מדויק למטופל.

ד"ר שרית אברהם ברשתות: קבוצת הפייסבוק | יוטיוב | טלפון: 02-3819945

טיפולי שיניים עם אוזון

טיפולי שיניים עם אוזון- חדשנות מובילה לאפקטיביות ברפואת הפה, השיניים והחניכיים! https://www.youtube.com/watch?time_continue=31&v=NXXgJyxmv_Y&feature=emb_logo יתרונות טיפולי השיניים עם אוזון : חיטוי חזק

קרא עוד »
js_loader
שלח לנו את השאלה שלך ונחזור אליך בהקדם!

השירות ניתן ללא עלות וללא מטרות רווח (מענה יינתן תוך 1-7 ימים)

השאירו פרטים ונחזור אליכם בהקדם​
דילוג לתוכן