אלטרנטיבות יעילות לטיפול שורש

תמונה של דוקטור שרית אברהם
דוקטור שרית אברהם

רופאת שיניים עם ניסיון רב בשיטות מתקדמות ואפקטיביות, בעלת תואר Msc במדעים הביו רפואיים של רפואת השיניים.

תוכן עניינים

אלטרנטיבות יעילות לטיפול שורש

רבים מהמטופלים, ואף לא מעט רופאי שיניים, סבורים בטעות שכאבים חזקים בשן, או אפילו חור עמוק, מחייבים בהכרח טיפול שורש.  בפועל, לא תמיד מתבצע אבחון נכון וממוקד המאפשר בחירה בגישות שימוריות, לעיתים בשל אילוצי זמן, כלים או גישות טיפול שונות. 

כבר משנת 2013, מרפאת השיניים של ד”ר שרית אברהם מהווה כתובת לאנשים רבים המחפשים פתרון שמרני, יעיל ומותאם אישית לבעיות שיניים – גם כאלו שבעבר נחשבו כמחייבות טיפול שורש. מטופלים מכל רחבי הארץ ואף מחו”ל פונים אל המרפאה כדי לקבל אבחנה מדויקת ופרוטוקול טיפולי ממוקד שמטרתו שימור מקסימלי של חיות השן. ד”ר אברהם מקדישה זמן רב לכל שלב האבחון, ומתאימה פרוטוקול טיפולי אישי ומדויק לכל מטופל.

במאמר זה נפרט על מקצת מהדרכים החלופיות לטיפול שורש – ונציג כיצד ניתן לטפל בשיניים לעומק, מבלי לפגוע בחיוניותן.

בשנים האחרונות, תחום רפואת השיניים חווה מהפכה עם גישות שמרניות וחדשניות שמאפשרות לנו לשמר את חיוניות השן גם במצבים שבעבר נחשבו לבלתי הפיכים. 

במאמר זה נציג שתי גישות טיפול עיקריות:

  • Vital Pulp Therapy) VPT) – טיפול במוך חי גם במצבים של דלקת בלתי הפיכה.

  • שימוש ב-PRF- Platelet-Rich Fibrin – גישה ביולוגית מתקדמת לטיפול בשיניים עם מוך נקרוטי.

המאמר מבוסס על ידע קליני רחב, ניסיון של עשרות טיפולים מוצלחים, וכן סקירה של מעל 15 מאמרים מדעיים עדכניים בתחום.

מהו טיפול שורש?

טיפול שורש הוא הליך שבו מסירים את רקמת המוך – הרקמה הרכה שבתוך השן – בשל זיהום או דלקת. לאחר הסרת הרקמה, מנקים את תעלות השורש וממלאים אותן בחומר אטימה.

המוך מכיל עצבים וכלי דם, וכאשר הוא נפגע, השן עלולה לגרום לכאב חזק ואף להזדהם. למרות שטיפול שורש הוא פתרון נפוץ ויעיל, הוא כרוך באיבוד החיוניות של השן.

מה הבעיה עם טיפולי שורש קונבנציונליים?

כדי להבין את מגבלות טיפול השורש, חשוב להכיר את מבנה השן. כל שן מורכבת משני חלקים עיקריים:

  • חלק חיצוני מינרלי ואורגני: האמייל הוא שכבה חיצונית קשה ועשירה במינרלים, והדנטין שמתחתיו מכיל גם תעלות מיקרוסקופיות (תעלות דנטין) וגם מרכיבים אורגניים – תאים, קולגן ונוזלים. הרכב תעלות הדנטין מקנה לשן גמישות קלה ויכולת כיפוף ועמידה בעומסים. כאשר מבצעים טיפול שורש, תעלות הדנטין נחשפות ונוטות להתייבש, מה שמפחית את גמישות השן ומעלה את הסיכון לשבר.

  • חלק פנימי חי: המוך (pulp) – רקמה רכה המכילה כלי דם, עצבים ותאי חיסון.

בעת טיפול שורש, מסירים את המוך כולו – כלומר, מוציאים את הרקמה החיה שמזינה את השן ושומרת עליה מבפנים. פעולה זו מחלישה את השן גם מבחינה ביולוגית וגם מבחינה מבנית. במסגרת טיפול השורש, מבוצעת גם הרחבה מכנית של תעלות השורש – שלב שמטרתו לאפשר ניקוי יסודי ואטימה יעילה, אך לעיתים קרובות דורש הסרה נרחבת של דנטין. בנוסף, החיטוי וההרחבה המכנית של תעלות השורש מחייבים לעיתים הסרה נרחבת של דנטין, מה שמוביל להפחתה בעמידות השן בפני שבר.

בשנים האחרונות, מחקרים מדעיים נוקבים מצביעים על כך ש:

  • כ־23% מהשיניים בטיפול שורש חוזר נכשלות בטווח של 4–5 שנים (Nature, 2024).

  • לפי קריטריונים מחמירים (כגון שימוש ב‑CBCT), אחוז ההצלחה הראשוני יכול לרדת לאזור 41% בלבד (Saudi Dent J, 2025).

  • במעקב ארוך טווח (עד 37 שנים), רק כ־68% מהשיניים נשמרות בתפקוד, כלומר כ־32% נכשלו בטווח הארוך.

הבעיה עם טיפולי השורש בטווח הקצר:

  • השן נחלשת בעקבות הסרת רקמות חיות.

  • יש סיכוי לרגישות או כאבים לאחר טיפול.

  • נדרש לרוב כתר או שחזור נרחב לשמירה על חוזק השן.

הבעיה עם טיפולי השורש בטווח הארוך:

  • שן מתה מועדת לשבר.

  • שיעורי כישלון משמעותיים: מחקרים עדכניים מצביעים על כך שיותר מ־25% מהשיניים שעוברות טיפול שורש מצריכות טיפול חוזר, חידוש או עקירה תוך מספר שנים, בין אם בשל זיהום חוזר, שבר או כשל באטימה.

  • קיים סיכון לזיהום חוזר או דלקת כרונית סמויה.

  • לעיתים יש צורך בטיפול שורש חוזר או עקירה

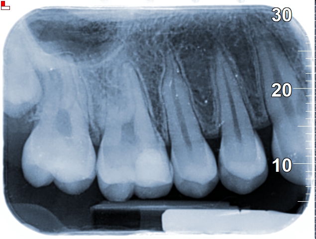
בתמונה ליד- צילום של שן שעברה VPT

לפני

המטופלת סבלה מכאבים מאוד חזקים בשן, מעירים משינה. על פי דרכי הטיפול המסורתיות, היה צריך לבצע טיפול שורש בשן. הוחלט לנסות להימנע מטיפול שורש. כיום, 10 שנים אחרי, זו השן היציבה ביותר בפה של המטופלת הזו 

אחרי

בתמונה אחרי 10 שנים, ניתן לראות הסתיידות כמעט מלאה של תעלות השורש. ברגע שהוסר הגורם המזהם , בוצע כיפוי מוך (תחת תנאים מסוימים, כפי שמצוין במחקרים עדכניים), הונחה משחה המעודדת יצירת דנטין שלישוני. תאי מוך השן הצליחו לאטום את השורש באופן טבעי מבפנים, בלי התערבות שלנו ועם גיוס מירבי של מערכת החיסון.

אילו אלטרנטיבות קיימות לטיפול שורש?

טיפול במוך חי (VPT), עם דלקת הפיכה ואף דלקת בלתי הפיכה

=> מהו VPT?

זהו מונח כולל למגוון טיפולים שמטרתם לשמר את חיות המוך (רקמת השורש הפנימית), גם כאשר הוא חשוף או מודלק – כולל מקרים שבעבר נחשבו כ”בלתי הפיכים”.

סוגי VPT כוללים:

  • כיפוי מוך ישיר (Direct Pulp Capping) – הנחת חומר מרפא ישירות על מוך שנחשף.

  • פולפקטומיה חלקית (Partial Pulpotomy) – הסרת חלק קטן מהמוך הפגוע.

  • פולפקטומיה מלאה (Full Pulpotomy) – הסרת כל המוך מהכתר והשארת המוך שבתעלות.

למה זה חשוב?

במקום להוציא את המוך כולו ולבצע טיפול שורש, ניתן לעיתים קרובות להסיר רק את החלק הנגוע ולשמר את החלק הבריא – מה שמוביל לריפוי טבעי ושמירה על חיות השן.

יתרונות מול טיפול שורש:

  • שמירה על חיוניות ורקמה טבעית

  • שימור השן לשנים רבות יותר 

  • הפחתה בעלויות טיפולים פולשניים וטיפולים נלווים להם

  • הפחתה בצורך בשחזורים גדולים 

  • נטייה מופחתת לפתח סדקים וצורך בעקירות 

  • עידוד ריפוי עצמי של הרקמה

מתי זה מתאים?

  • כאב חזק אך ממוקד, ללא סימני נמק או דלקת מפושטת

  • תגובה חיה לבדיקות קור

  • צילום תקין או עם ממצא מזערי פריאפיקלי

אותה מטופלת שן 26

אותה מטופלת שן 16

הסיפור של המטופלת לעיל מדגים באופן הטוב ביותר את החשיבות של גישה שמרנית יותר, המנסה להימנע מטיפול שורש. צילומי השיניים לעיל ניטלו לפני כשנתיים. בעת הגעתה למרפאתנו, הגיעה עם תלונה על כאבים בשן 26 (ראו צילום לעיל), לאחר שבוצע בשן זו טיפול שורש במרפאה קודמת בה היא הייתה. בשן בוצע טיפול שורש לפני כשנה טרם הגעתה למרפאתנו. הסיפור ארוך, אך בקצרה- בצילום סיטי (שבוצע בבית חולים מסיבות אחרות…) נראה כי טיפול השורש סבשן 26 היה נראה תקין לחלוטין (בד”כ יש 4 תעלות בשן זו בפה ומאוד נפוץ שמפוספת התעלה הרביעית אך אצל מטופלת זו היו רק 3 תעלות שורש שנאטמו יחסית טוב, לפחות רנטגנית). במהלך הבירור, המטופלת החלה לסבול מכאבים בשן 16, הוחלט לבצע VPT והיא נמצאת במעקב עד היום ללא כל תלונה על כאבים.

כיפוי מוך – כיצד מאפשר שמירה מוקדמת ומדויקת?

כאשר נחשף המוך (במקרה של חבלה, שחיקה עמוקה או טיפול), ניתן לעיתים לכסותו מיידית ולמנוע את התקדמות הדלקת.

סוגי כיפויים:

  • ישיר (Direct): כאשר המוך נחשף ישירות, לדוגמה בזמן טיפול עמוק בעששת.

  • עקיף (Indirect): כאשר נשארת שכבת דנטין דקה בין העששת לבין המוך.

מהלך טיפול:

  • ניקוי עדין של האזור

  • הנחת חומר ביואקטיבי, עשיר בסידן (כגון Biodentine)

  • שחזור זמני או קבוע

 

ואיזו אלטרנטיבה טיפולית קיימת לטיפול בשן שכבר אין בה חיות? טיפול ב-PRF בשיניים עם מוך נקרוטי

במקרים שבהם המוך כבר נקרוטי (מת), ניתן לשקול טיפול ביולוגי חדשני ולא רק טיפול שורש קלאסי.

מהו PRF?

PRF (Platelet-Rich Fibrin) PRF מופק מדם המטופל בתהליך פשוט. נלקחת דגימת דם מהזרוע, בדומה לבדיקת דם רגילה בקופת חולים. את הדם מעבירים תהליך מעבדתי קצר (צנטריפוגה), שבסופו מתקבל קריש פיברין עשיר בטסיות דם, גורמי גדילה וחלבונים – רכיבים המעודדים ריפוי והתחדשות של הרקמות. הוא עשיר בטסיות דם, גורמי גדילה וחלבונים המעודדים ריפוי טבעי של הרקמות. PRF נמצא בשימוש נרחב בהרבה תחומים של הרפואה, כאשר רוצים לעודד ריפוי טבעי של רקמות.

השימוש ב-PRF בטיפולי שורש:

  • לאחר ניקוי וחיטוי תעלות השורש, ניתן להחדיר לתוכן PRF בטכניקה מדויקת

  • הימצאותו בתוך התעלה מעודד התחדשות של כלי דם ותאי מוך חדשים

  • משמש בגישות של רה-וסקולריזציה (Revascularization)= בנייה מחדש של כלי הדם בתוך מוך השן.

יתרונות:

  • טיפול טבעי 

  • שימור מבנה שן ללא צורך בטיפול שורש מסורתי 

  • ייתכן שנוכחות PRF בתעלה מאפשרת למערכת החיסון להילחם יותר בקלות בגורמים מזהמים בתוך תעלות השורש ובכך למנוע עמידות שלהם וחזרה של הזיהום 

  • מתאים גם לשיניים צעירות וגם לבוגרות 

  • מונע סיבוכים שקיימים בטיפולי שורש רגילים

לסיכום: ישנה גישה שמתחשבת בשן ובאדם

טיפול שורש הוא פתרון חשוב – אך לא תמיד הכרחי. כשיש אפשרות לשמר את חיוניות השן באמצעים ביולוגיים, הבחירה בגישות כמו VPT או PRF היא לא רק שמרנית – היא מתקדמת, בטוחה ואנושית.

בקליניקה של ד”ר שרית אברהם, השיטות הללו מיושמות בהצלחה רבה, תוך אבחנה מדויקת, ניסיון עשיר ומעקב קליני הדוק. אם אובחנת עם דלקת מוך או כאב בשן, ייתכן שיש דרך אחרת – שימורית וטבעית יותר.

מקורות מומלצים

 

  1. Regenerative approach to regain pulp vitality in mature permanent teeth using PRF vs CGF – BDJ Open, 2025

  2. Philip N & Suneja B, Br Dent J. 2022

  3. Lin LM et al., Aust Endod J. 2020

  4. Chailertvanitkul P et al., Int Dent J. 2021

  5. Keswani D et al., J Conserv Dent. 2020

  6. Almutairi W et al., Int J Health Sci (Qassim). 2022

  7. Goyal L et al., J Conserv Dent. 2023

  8. Bezgin T et al., J Endod. 2015

  9. Hilton TJ, J Am Dent Assoc. 2009

  10. Shivashankar VY et al., J Conserv Dent. 2012

  11. Asgary S et al., Clin Oral Investig. 2014

  12. Taha NA et al., Int Endod J. 2017

  13. Jadhav GR et al., J Int Soc Prev Community Dent. 2015

  14. Aguilar P & Linsuwanont P, J Endod. 2011

  15. Qudeimat MA et al., Int Endod J. 2017

  16. Elmsmari F et al., Eur Arch Paediatr Dent. 2019

חזרה לחלק מסוים במאמר
תמונה של דוקטור שרית אברהם
דוקטור שרית אברהם

ד"ר שרית אברהם בוגרת הפקולטה לרפואת שיניים בהדסה, בעלת תואר Msc במדעים הביו רפואיים של רפואת השיניים. ד"ר אברהם מייצגת את הדור החדש של רופאי השיניים ומשלבת בין טיפול איכותי ומקצועי בד בבד עם גישה הרואה את המטופל כמכלול.
ד"ר אברהם מבצעת סקירה מעמיקה אודות מצבו הרפואי של המטופל על מנת לאתר את גורמי השורש שהביאו את המטופל למרפאתה, המצריכים לעיתים מעורבות של גורמי טיפול נוספים כדוגמת רופא אף אוזן גרון או אורטודנט.
ד"ר אברהם מתעדכנת כל העת בפרקטיקות הטיפול החדשניות ביותר במסגרת חברותה ב- SPEAR EDUCATION CAMPUS ומחזיקה את הציוד המתקדם ביותר כגון סורק אינטראוראלי ומדפסת תלת מימד המאפשרים לקצר את משך הטיפול ולתת מענה מדויק למטופל.

ד"ר שרית אברהם ברשתות: קבוצת הפייסבוק | יוטיוב | טלפון: 02-3819945

שתל בזאלי לדוגמא
שתלים בזאליים

שתלים בזאליים הם שתלים ייעודיים עבור אנשים הסובלים ממחסור או ליקוי בעצם הלסת מה שמונע אפשרות לבצע השתלת שיניים בשיטה

קרא עוד »
סתימה בשן - אילוסטרציה
סתימה (שחזור שן)

סתימה נמנית בין טיפולי השיניים הנפוצים ביותר בייחוד בקרב ילדים ובני נוער. שמו המקצועי של הטיפול הוא “שחזור שן” והוא

קרא עוד »
js_loader
שלח לנו את השאלה שלך ונחזור אליך בהקדם!

השירות ניתן ללא עלות וללא מטרות רווח (מענה יינתן תוך 1-7 ימים)

השאירו פרטים ונחזור אליכם בהקדם​
דילוג לתוכן